Ruhe-EKG
Belastungs-EKG
Schrittmacher- u. ICD Kontrollen
Langzeit-EKG
Langzeit-Blutdruckmessung
Echokardiographie
Duplex-Sonographie
Abdomensonographie
Schilddrüsensonographie
Spirometrie

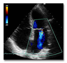
Echokardiographie

Die Echokardiographie ist eine Ultraschalluntersuchung vom Herzen.

Eingesetzt wird die Echokardiographie beispielsweise bei:
  • Herzschwäche
  • Herzinfarkt
  • Herzklappenfehlern
  • Herzmuskelentzündung
Beurteilt werden:
  • Herzgröße
  • Wandstärke des Herzmuskels
  • Herzkraft („Pumpfunktion“)
  • Funktion der Herzklappen
  • angeborene Fehlbildungen
  • Flüssigkeit im Herzbeutel
Echokardiographie


Hierzu werden von einem sog. „Schallkopf“ Ultraschallwellen ausgesandt, vom Körper reflektiert und dann vom Schallkopf wieder empfangen. Hierdurch kann man die Organe bildlich darstellen und Bewegungen aufzeichnen.

Der zusätzliche Einsatz eines Farbdopplers macht die Richtung und Geschwindigkeit des Blutstroms sichtbar. Hierfür ist keine Vorbereitung notwendig, der Patient muss lediglich auf der linken Seite liegen. Die Untersuchung ist absolut schmerzlos.
Stethoskop

Praxisteam

Sprechzeiten

Praxisbroschüre als PDF-Download